Cosmetic and restorative dentistry include procedures to help you look and feel your best. In cosmetic dentistry, our goal is to improve the color, shape, and alignment of your teeth for an aesthetically pleasing smile. Restorative dentistry repairs damaged teeth to restore their original health or crafts suitable replacements for missing teeth following injury or decay.
Restorative procedures improve bite and chewing function, which makes it easier to maintain proper nutrition and better overall health. At Inspire Dental Solutions, our cosmetic and restorative specialists work directly with you on a seamless care plan to give you a more confident smile.
-
Teeth Whitening
-
Bonding/Fillings
-
Veneers and Lumineers
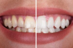
Teeth Whitening
Tooth bleaching is a great option to give you a whiter and brighter smile. Bleaching can be used to improve the look of stained and discolored teeth or simply to enhance your smile. Tooth bleaching is a safe and predictable procedure ideal for most patients. Our office is happy to evaluate your options and provide you with the most effective procedure for your unique goals and dental history.


Bonding/Fillings
Dental bonding is a procedure that applies a tooth-colored resin material to the tooth and hardens it with a special light to “bond” the material to the tooth to improve its appearance. There is usually very minimal tooth preparation required for bonding. Dental bonding can be used to repair decayed teeth as a cosmetic alternative to amalgam fillings, repair chipped or cracked teeth, improve the appearance of discolored teeth, close spaces between teeth, or to change the shape and form of teeth.
Veneers and Lumineers
Veneers are a great way to correct gaps in your teeth or improve the appearance of stained, misshapen, or crooked teeth. Veneers are thin, custom-made shells crafted of tooth-colored materials designed to cover the front side of teeth. They are made on the mold that the cosmetic dentist creates from your teeth, then applied after very minimal preparation to the tooth. They are a great way to get the beautiful smile you always wanted!

